Neurovascular care

Neurovascular decisions are based on what you see, so see more

 

Neurovascular care encompasses a remarkable range in approaches to treatment. On one hand, stroke cases are acute and always require immediate treatment for the greatest chance of improving the patient’s quality of life. On the other hand, planned procedures such as complex treatments for aneurysms and arteriovenous malformations (AVMs) need to be meticulously designed and executed to minimize the inherent risk. Neuro suite with SmartCT makes advanced 3D imaging accessible, offering superior workflow with excellent image quality at low dose. Innovative stroke tools, thoughtful collaboration with partners and 24/7 support help you deliver superior neurovascular care.

Touchscreen module Pro allows tableside control of images and applications with tablet ease

Determine the best course of treatment with greater confidence

Neuro suite offers a flexible portfolio of sophisticated 3D imaging, integrated imaging, integrated technologies, neuro accessories and valued-added services that puts you on top of things, whether treating an acute stroke patient or working precisely through a complex AVM. This allows you to act with confidence, supported by high levels of procedural efficiency and standardization to help redefine outcomes for your patients and provide a positive workflow experience for staff.

Innovatively designed to support the most challenging procedures

Our most flexible biplane system ever

With the industry-leading Azurion, we reinforce our commitment to you and your patients. Azurion is designed to help you meet your challenges, today and tomorrow.

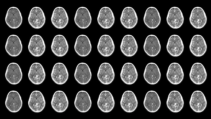
SmartCT soft tissue helical

SmartCT Soft Tissue Helical*

Improved neuro CT-like cone beam CT images (CBCT) to identify ischemic changes in the Angio suite. The advanced protocol with dual-axis acquisition trajectory and improved reconstruction software results in improved image appearance, compared to conventional CBCT acquisition techniques.

SmartCT Dual Phase Cerebral*

Offers acquisition of two consecutive contrast-enhanced CBCT scans of the brain. In the case of a stroke patient with a suspected large vessel occlusion, this allows the identification of the vessel occlusion in the first phase and the presence of collateral vessels in the second phase.

SmartCT dual phase

SmartCT Dual Viewer*

Simultaneously visualize two 3D datasets of different sizes--acquired at different times during the procedure--and overlay them to create fusion images to support assessment and diagnosis without breaking sterility by using the touchscreen module or mouse and keyboard.

SmartCT dual viewer

SmartCT Angio

This X-ray acquisition technique generates a complete high-resolution 3D visualization from a single rotational angiography run – all controlled via the touch screen at the table

Imaging technology

We are always interested in engaging with you.

Let us know how we can help.

1
Select your area of interest
2
Contact details

Disclaimer


*SmartCT R3.0 is subject to regulatory clearance and may not be available in all markets. Contact your sales representative for more details

You are about to visit a Philips global content page

Continue

You are about to visit a Philips global content page

Continue

Our site can best be viewed with the latest version of Microsoft Edge, Google Chrome or Firefox.

Jūs ieejat Latvijas Philips Healthcare tīmekļa vietnē.
Please select the checkbox

Tīmekļa vietne ir paredzēta tikai personām, kuras izmanto medicīniskās ierīces kā profesionāļi, tostarp personām, kas praktizē medicīnas profesijās, personām, kas darbojas veselības aprūpes iestāžu labā vai organizācijām, kas tirgo medicīnas ierīces kā profesionāļi.

Vai esat persona, kas atbilst iepriekš minētajiem kritērijiem?