
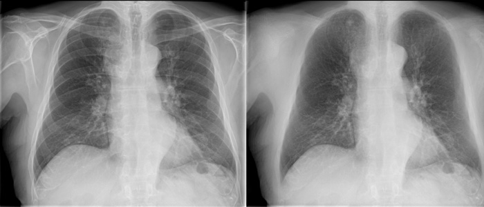
Innovative image enhancement technology designed to increase the clarity of adult erect chest radiographs by suppressing bones on digital images.

A grid-less workflow with SkyFlow Plus.
A grid-less workflow with SkyFlow Plus.
Innovative image enhancement technology designed to increase the clarity of adult erect chest radiographs by suppressing bones on digital images.
*Not all packages are available for all DXR systems and package components vary per system. Windows 10 is a baseline requirement for this clinical package. **ClearRead Bone Suppression by Riverain Technologies ***Based on 4 images on average per examination. Validated by clinicians in a Philips’ development environment.




You are about to visit a Philips global content page
ContinueTīmekļa vietne ir paredzēta tikai personām, kuras izmanto medicīniskās ierīces kā profesionāļi, tostarp personām, kas praktizē medicīnas profesijās, personām, kas darbojas veselības aprūpes iestāžu labā vai organizācijām, kas tirgo medicīnas ierīces kā profesionāļi.
Vai esat persona, kas atbilst iepriekš minētajiem kritērijiem?