FieldStrength MRI magazine
User experiences - July 2015
Motion can be a challenge, especially when imaging the abdominal area. MultiVane XD is helping clinicians at Radiologie am St Joseph Stift to get abdominal imaging right the first time, with an extended reconstruction algorithm that reduces motion-related artifacts. It is a key component in the fast liver exam that the site routinely uses.

Peter Baumann, MD, completed his medical studies at RWTH Aachen in 1994. His residency was done in the Radiology department at Bremen-Nord Clinic, and he became a radiologist in 2001 at Radiologie am St. Joseph Stift Bremen, specializing in MRI and CT.

Radiologie am St Joseph Stift (Bremen, Germany) is a private institution, connected to a 500-bed hospital. Using two Ingenia 1.5T MRI systems, the site performs mainly musculoskeletal, neuro and abdomen/liver studies. Radiologist Peter Baumann, MD, says motion can be a challenge in MR imaging.
“Artifacts can appear in our images due to respiratory motion and bowel motion, as well as in patients who cannot hold their breath or lie still long enough. As a consequence, our diagnostic confidence decreases, or sequences may have to be repeated, resulting in a longer examination time, or sometimes we even have to reschedule the patient to do a rescan.”
Dr. Baumann then implemented MultiVane XD for motion correction. It uses an extended reconstruction algorithm for imaging that is virtually motion free. “With MultiVane XD we get excellent motion-corrected images with high spatial resolution. We typically first optimize our scan for high image quality, and when satisfied with that, we try to reduce the scan time. So, we combined MultiVane XD with dS SENSE, which allows us to shorten the scan time,” he explains. “The performance of MultiVane XD in liver imaging is outstanding. MultiVane XD with dS SENSE is a powerful development in improving liver image quality.” “As we use breathhold imaging for T2-weighted liver scans, we depend on the patient’s ability to cooperate with the exam. This can present a real challenge when we are looking for small lesions, such as in our oncological patients. However, with MultiVane XD motion correction, we get excellent images. This is important for our surgeons, because they want to know exactly where the lesions are.”
Sometimes Dr. Baumann also uses MultiVane XD in other anatomy. “In brain imaging, we use it when we anticipate the patient moving, such as for severely ill patients who can’t lie still, or we add it when a sequence is not good enough because of motion. We are happy with the good image quality. We’ve also started to examine patients with lung and heart problems, which of course have moving parts, and we’re developing protocols there that seem to work quite well.”
“Our way of working has changed since we implemented MultiVane XD. For instance, in consulting with other clinicians, we are confident to recommend more often MRI instead of CT for liver examinations in difficult patients who cannot cooperate properly. Before using MultiVane XD, we used to do CT scans with a short breathhold, but we prefer good liver MRI with different contrasts over a CT scan.”

“The robust performance of the MultiVane XD protocol also makes a difference for our staff. With high image quality results our technologists don’t need to ask the radiologist if they have to repeat a scan or use other sequences.”
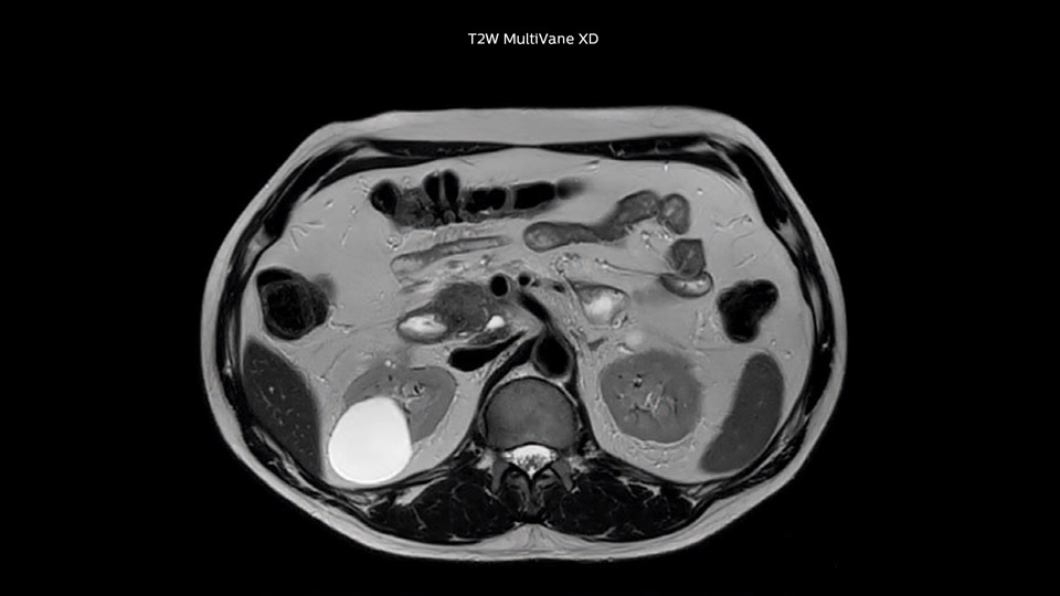
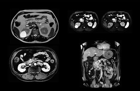
In this example the image quality of the MultiVane XD images is evidently better than in the images without MultiVane XD. Ingenia 1.5T with dS Torso coil solution.

“Our liver exams are quite fast,” says Dr. Baumann. “If the patient tolerates it, we use an arms-up position to reduce the FOV and speed up the exam with dS SENSE.” “We acquire one transversal high resolution T2-weighted sequence with 3 mm slice thickness, for example for pancreas or liver lesions. Then we also add a T2 fat suppressed MultiVane XD SPIR sequence. We perform these two routinely in our liver imaging. We use high dS SENSE factors to significantly shorten scan times to 2-4 minutes, which can improve our protocol; it’s a very robust scan.” “We include mDIXON for the dynamic sequences because of the robust and homogeneous fat suppression we get with that. We had been using eTHRIVE, but we are now quite happy with mDIXON. Sometimes we use a medication to calm the bowels, to further improve the image quality.”
“We are more confident in our diagnosis if we don’t have to rescan the patient and compare it to other studies; this liver exam gives us good image quality in a faster time than the default system’s approach with arms down. That makes a difference for the patients, too. The shorter scan times, especially with the high dS SENSE factors, shorten the duration of the total examination. At the same time it’s more comfortable for the patient, to rest normally without holding the breath, just relaxing.”
“I would absolutely recommend to other sites to implement MultiVane XD with dS SENSE in their abdominal cases, as it’s brilliant for robust, motion-corrected abdominal imaging. It provides us with excellent image quality with high resolution in a short time,” says Dr. Baumann. “I would advise using MultiVane XD for T2 and T2 fat suppressed high quality imaging for almost every liver case.”
“MultiVane XD contributes to getting the images right the first time. Usually there’s no rescanning necessary, because there are very few or virtually no artifacts from movement.”
Results from case studies are not predictive of results in other cases. Results in other cases may vary. Results obtained by facilities described in this issue may not be typical for all facilities.

You are about to visit a Philips global content page
ContinueTīmekļa vietne ir paredzēta tikai personām, kuras izmanto medicīniskās ierīces kā profesionāļi, tostarp personām, kas praktizē medicīnas profesijās, personām, kas darbojas veselības aprūpes iestāžu labā vai organizācijām, kas tirgo medicīnas ierīces kā profesionāļi.
Vai esat persona, kas atbilst iepriekš minētajiem kritērijiem?