Doctor in the middle of the operation

Made for critical care

Lumify is ready for rounds when you are

You never know what to expect when you walk into a patient’s room. With Lumify handheld ultrasound for critical care and your compatible Android or iOS device, you’ll be ready to provide excellent care with high-quality ultrasound images.

Learn how Lumify can work for you

Decrease complications

Decrease complications

of CVC insertions

Real-time ultrasound guidance can improve the accuracy and safety of CVC insertions.

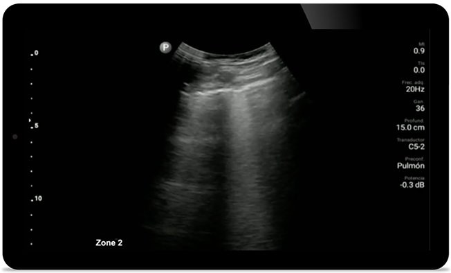
Keep an eye on COVID pneumonia

Keep an eye on COVID

pneumonia

Lumify can help give results similar to a chest CT when evaluating pneumonia and adult respiratory distress syndrome.

Act faster to protect their heart

Act faster to protect

their heart

When seconds count, portable ultrasound can make the difference. Lumify can provide the high-definition imagery you need whenever and wherever you need it.

What industry leaders think about Lumify

See for yourself
 

Get the full picture with clear whole-body imagery for a fast, accurate response during examinations.

Lumify transducers for critical care

Broadband phased array transducer

Lumify S4-1 broadband phased array transducer

• 4 to1 MHz extended operating frequency range.
• 2D, Color Doppler, M-mode, advanced, XRES and multivariate harmonic imaging.
• High-resolution imaging for abdominal and cardiac applications: cardiac, OB/GYN, lung, abdomen and FAST imaging preset optimizations.

Broadband linear array transducer

Lumify L12-4 broadband linear array transducer

• 12 to 4 MHz extended operating frequency range

• Aperture size: 34mm

• 2D, steerable color Doppler, M-mode, advanced XRES and multivariate harmonic imaging, SonoCT

• High resolution imaging for shallow applications: soft tissue, vascular, superficial, musculoskeletal, and lung

• Center line marker

• USB-C transducer with replaceable cable

See more when it counts

From revealing the subtle details of an image to uncovering enriched tissue definition from multiple angles, Lumify can help you make real-time decisions with more confidence from assessment through recovery.

Padstatic case example image
Padstatic case example image

See more when it counts

From revealing the subtle details of an image to uncovering enriched tissue definition from multiple angles, Lumify can help you make real-time decisions with more confidence from assessment through recovery.

Discover how Lumify works for critical care

Doctor working on the tablet

Case study

Opportunity to potentially reverse cardiomyopathy

Phone next to the lumify product

Tutorial

Intro to transthoracic echocardiography

Patient getting treatment

Quick guide

Focused renal ultrasound

We are always interested in engaging with you.

Let us know how we can help.

1
Select your area of interest
2
Contact details

You are about to visit a Philips global content page

Continue

You are about to visit a Philips global content page

Continue

Our site can best be viewed with the latest version of Microsoft Edge, Google Chrome or Firefox.

Jūs ieejat Latvijas Philips Healthcare tīmekļa vietnē.
Please select the checkbox

Tīmekļa vietne ir paredzēta tikai personām, kuras izmanto medicīniskās ierīces kā profesionāļi, tostarp personām, kas praktizē medicīnas profesijās, personām, kas darbojas veselības aprūpes iestāžu labā vai organizācijām, kas tirgo medicīnas ierīces kā profesionāļi.

Vai esat persona, kas atbilst iepriekš minētajiem kritērijiem?