
Start treatment with an accurate diagnosis
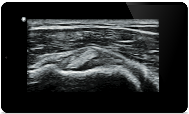
Lumify helps you see the fine details in muscles, joints, ligaments, tendons and cartilage to make a more accurate diagnosis of injuries.

Respond fast with whole-body imagery
Lumify can help you assess patients from head to toe, whether it’s plantar fasciitis, tendonitis or bursitis in the patellar tendon, or even shoulder instability in the rotator cuff.

Get the clarity of larger ultrasound systems with Lumify
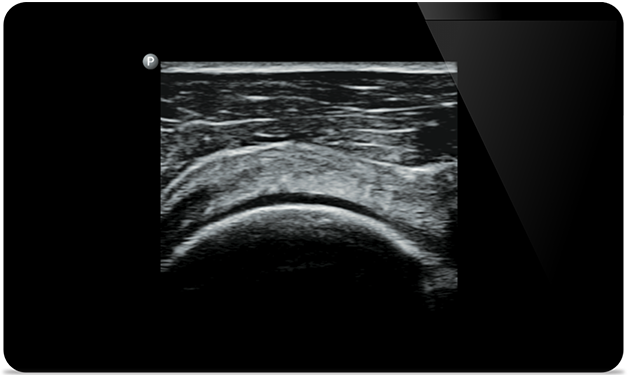
SonoCT reinforces real tissue imaging while eliminating random artifacts. This technology produces images superior to conventional imaging in up to 94% of patients.


Professor, Charles Sturt University














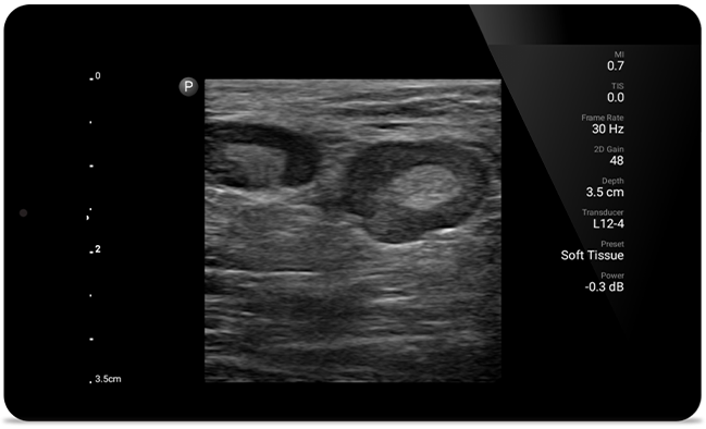
• 5 to 2 MHz extended operating frequency range • 50mm radius of curvature • 2D, color Doppler, M-mode, advanced XRES and multivariate harmonic imaging, SonoCT • High-resolution imaging for deeper applications: abdominal, gall bladder, OB/GYN and lung imaging preset optimizations



Video
Ultrasound-guided
knee arthrocentesis

Case study
Supraspinatus tendon tear

Quick guide
Ultrasound-guided hip arthrocentesis
You are about to visit a Philips global content page
ContinueTīmekļa vietne ir paredzēta tikai personām, kuras izmanto medicīniskās ierīces kā profesionāļi, tostarp personām, kas praktizē medicīnas profesijās, personām, kas darbojas veselības aprūpes iestāžu labā vai organizācijām, kas tirgo medicīnas ierīces kā profesionāļi.
Vai esat persona, kas atbilst iepriekš minētajiem kritērijiem?